Menu

Is Third Molar Tooth Removal Scary?

Discover the truth about wisdom tooth removal and how advanced technology makes it painless at Burute Dental Clinic in Pimpri Chinchwad.

Understanding Wisdom Teeth & Third Molars

I have heard horrific stories about the pain and swelling that happens after wisdom tooth removal. Is third molar tooth removal really that scary?

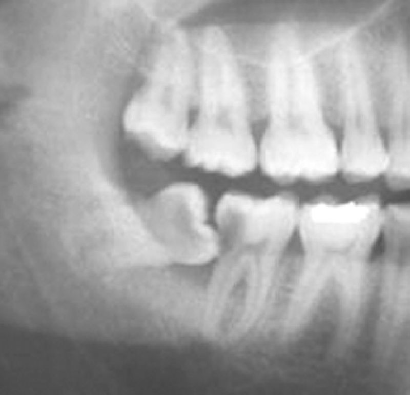
Wisdom teeth or Third molars are the last teeth in the jaw, normally stuck in jaw bone behind all the teeth. Inadvertly, their location is also tricky with their roots being very close to important nerves and blood vessels running in the jaws.

With evolution, the size of the human jaw has decreased. So wisdom teeth do not get adequate space to come out straight, and end up putting pressure on the front tooth (2nd molar) while erupting. This is why most 18 to 22 year olds face pain during wisdom teeth eruption.

Sometimes, if tooth size and jaw size match, the third molar erupts without pain, but it may erupt tilted- which can cause 2 problems. It can lead to gum impingement in that area, or it can cause a naturally-uncleanable site leading to decay of the 2nd or 3rd molar.

What is the solution?

The Golden rule for wisdom teeth is: remove them when they start bothering you. Root canals and capping of wisdom teeth are normally avoided as they have unusual anatomy and even after capping, can keep acting as point of unaccessible food accumulation, leading to decay of adjacent vital teeth.

So always remove a third molar whenever it starts bothering you.

Golden Rule for Wisdom Teeth

Remove them when they start bothering you. Avoid root canals and capping as they can lead to complications and decay of adjacent teeth due to their unusual anatomy and difficult-to-clean locations.

Why Are Wisdom Tooth Extractions So Painful?

The Root Cause of Pain

Since the wisdom teeth are stuck in the bone, they need to be disengaged from the bone by removing the bone holding it in. This causes bone injury which usually causes pain and swelling during recovery.

Traditional Extraction Problem:

Conventional extraction methods require bone removal, leading to significant trauma, pain, swelling, and longer recovery time.

Advanced Painless Technology

However, there are now advanced technologies available which vibrates the stuck tooth and loosens it from the bone attachments. This enables the tooth to be removed without causing any injury to the bone or nearby nerves and blood vessels.

This revolutionary approach uses precise vibrations to gently separate the tooth from the bone, eliminating the need for traumatic bone removal.

Burute Dental's Painless Solution

This advanced technology is available at Burute dental clinic in Pimpri chinchwad. Our patients have given us excellent feedback regarding the painless wisdom tooth removal procedure, many of them reported to not having any pain or swelling on the next day.

"I was terrified of getting my wisdom teeth removed after hearing horror stories from friends. But at Burute Dental, the experience was completely different. I had no pain the next day and was back to work in 24 hours!" - Priya S., Pimpri

Our Promise:

Always ask your dentist for painless wisdom tooth removal or visit Dr. Mrunal Burute for the best experience. We use advanced vibration technology that minimizes trauma and maximizes comfort.

Traditional vs. Advanced Wisdom Tooth Removal

See the difference between traditional extraction methods and our advanced painless technique:

Traditional Painful Extraction

Traditional Extraction Method

Advanced Painless Removal

Advanced Painless Removal at Burute Dental

Insight from Dr. Mrunal Burute

"I understand the fear associated with wisdom tooth removal. That's why we've invested in the latest vibration technology that makes the procedure virtually painless. The key is to remove wisdom teeth before they cause major problems, and to do it with minimal trauma."

When Should You Remove Wisdom Teeth?

  • When they start causing pain or discomfort
  • If they're impacting adjacent teeth
  • When there's recurrent gum infection around them
  • If they're decayed and difficult to restore
  • Before they cause damage to surrounding teeth

Don't wait until the pain becomes unbearable. Early intervention with our painless technology means easier recovery and better outcomes. Wisdom tooth removal doesn't have to be scary when done right.

Experience Painless Wisdom Tooth Removal

At Burute Dental Clinic, we've transformed wisdom tooth removal from a dreaded procedure into a comfortable experience. Our advanced vibration technology ensures minimal pain, faster recovery, and excellent results.

Stop fearing wisdom tooth removal. Experience the difference with our painless extraction technology.